Czy piaskowanie wybiela zęby? To pytanie nurtuje wiele osób, które pragną poprawić wygląd swojego uśmiechu. Piaskowanie zębów to popularna metoda, która ma na celu usunięcie kamienia nazębnego oraz powierzchownych przebarwień. Warto jednak zrozumieć, że nie jest to tradycyjne wybielanie, które zmienia wewnętrzną barwę szkliwa. Zabieg ten daje natychmiastowy efekt, sprawiając, że zęby wydają się jaśniejsze i gładkie, jednak nie zapewnia trwałego rozjaśnienia.
W artykule przyjrzymy się, jak piaskowanie wpływa na wygląd zębów, jakie są różnice między tą metodą a tradycyjnym wybielaniem, a także jakie są potencjalne skutki uboczne. Dzięki temu zyskasz pełniejszy obraz tego, kiedy warto zdecydować się na piaskowanie oraz jakie czynniki mogą wpłynąć na jego skuteczność.
Kluczowe informacje:- Piaskowanie zębów nie jest metodą trwałego wybielania, ale może poprawić ich wygląd poprzez usunięcie powierzchownych plam.
- Efekty piaskowania są widoczne natychmiast po zabiegu, co może być korzystne dla osób z mocno przyciemnionymi zębami.
- W przeciwieństwie do tradycyjnych metod wybielania, piaskowanie nie zmienia wewnętrznej barwy szkliwa.
- Zabieg jest bezpieczny, ale może powodować krótkotrwałe podrażnienie dziąseł lub nadwrażliwość zębów.
- Piaskowanie nie zastępuje profesjonalnego wybielania, które jest konieczne do uzyskania trwałego rozjaśnienia o kilka odcieni.
Czy piaskowanie wybiela zęby? Zrozumienie tej metody
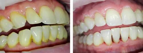
Piaskowanie zębów to popularna metoda, która ma na celu poprawę wyglądu uśmiechu poprzez usunięcie kamienia nazębnego oraz powierzchownych przebarwień. Zabieg ten polega na mechanicznym oczyszczaniu zębów za pomocą specjalnego urządzenia, które wykorzystuje drobne cząstki piasku dentystycznego. Choć piaskowanie nie zmienia wewnętrznej barwy szkliwa, efekty są widoczne natychmiast po zabiegu, co sprawia, że zęby wydają się jaśniejsze i gładkie.
Warto zaznaczyć, że piaskowanie jest szczególnie skuteczne w przypadku osób z mocno przyciemnionymi zębami z powodu osadów po spożywaniu barwiących napojów, takich jak kawa, herbata czy czerwone wino. Zabieg ten nie tylko poprawia estetykę, ale również przyczynia się do lepszego stanu zdrowia jamy ustnej. Choć piaskowanie nie zastępuje profesjonalnego wybielania, może być doskonałym rozwiązaniem dla tych, którzy chcą szybko poprawić wygląd swojego uśmiechu.Jak piaskowanie wpływa na wygląd zębów i ich kolor
Piaskowanie zębów ma na celu usunięcie powierzchownych plam oraz osadów, co bezpośrednio wpływa na ich kolor. Po zabiegu zęby stają się nie tylko jaśniejsze, ale także bardziej gładkie, co zwiększa ich estetykę. Dzięki temu efekt wybielania jest szczególnie zauważalny u osób, które wcześniej miały problem z przebarwieniami.
Warto jednak pamiętać, że efekty piaskowania są tymczasowe i nie można ich porównywać z długotrwałymi rezultatami tradycyjnych metod wybielania. Piaskowanie skutecznie poprawia wygląd zębów, ale nie zmienia ich wewnętrznej struktury ani koloru. Dlatego dla uzyskania długotrwałych efektów warto rozważyć dodatkowe metody wybielania, które mogą zapewnić lepsze rezultaty.
Różnice między piaskowaniem a tradycyjnym wybielaniem zębów
Piaskowanie zębów i tradycyjne wybielanie to dwie różne metody, które mają na celu poprawę estetyki uśmiechu, ale działają na zupełnie innych zasadach. Piaskowanie polega na mechanicznym usuwaniu kamienia nazębnego oraz powierzchownych przebarwień, co daje natychmiastowy efekt w postaci jaśniejszych zębów. W przeciwieństwie do tego, tradycyjne wybielanie zmienia wewnętrzną barwę szkliwa, co prowadzi do długotrwałych rezultatów. Efekty piaskowania są widoczne od razu, jednak ich trwałość jest ograniczona, ponieważ zęby mogą ponownie zyskiwać przebarwienia.
Jeśli chodzi o efektywność, piaskowanie jest świetnym rozwiązaniem dla osób, które pragną szybko poprawić wygląd zębów przed ważnym wydarzeniem, ale nie zapewnia tak spektakularnych rezultatów jak profesjonalne wybielanie. Tradycyjne metody, takie jak wybielanie za pomocą lampy LED czy nakładek z żelem wybielającym, mogą rozjaśnić zęby o kilka odcieni i utrzymać te efekty przez dłuższy czas. Dlatego decyzja o wyborze metody powinna być dostosowana do indywidualnych potrzeb i oczekiwań pacjenta.
Jakie efekty daje piaskowanie w porównaniu do wybielania?
Efekty piaskowania zębów w porównaniu do tradycyjnego wybielania są znacząco różne. Użytkownicy piaskowania często podkreślają, że po zabiegu zęby stają się jaśniejsze i gładsze, ale nie osiągają takiego samego poziomu wybielenia, jak przy użyciu tradycyjnych metod. Wiele osób, które przeszły oba zabiegi, zauważa, że piaskowanie skutecznie usuwa osady, ale nie zmienia koloru zębów na dłużej. Opinie użytkowników wskazują, że piaskowanie jest idealne do szybkiej poprawy estetyki, ale nie zastępuje profesjonalnego wybielania.
- Piaskowanie daje natychmiastowy efekt, ale jego trwałość jest ograniczona.
- Tradycyjne wybielanie zmienia wewnętrzną barwę szkliwa, co prowadzi do długotrwałych rezultatów.
- Użytkownicy piaskowania często zauważają poprawę wyglądu, ale nie osiągają tak dużego rozjaśnienia jak w przypadku wybielania.
| Metoda | Efektywność | Trwałość efektów |
| Piaskowanie | Usuwa powierzchowne plamy | Krótkotrwałe, efekty widoczne od razu |
| Tradycyjne wybielanie | Zmienia wewnętrzną barwę szkliwa | Długotrwałe, efekty utrzymują się przez miesiące |
Bezpieczeństwo piaskowania zębów i jego skutki uboczne
Piaskowanie zębów jest ogólnie uważane za bezpieczny zabieg, który nie uszkadza szkliwa. Jednak jak każdy zabieg stomatologiczny, może wiązać się z pewnymi skutkami ubocznymi. Najczęściej zgłaszane problemy to podrażnienie dziąseł oraz nadwrażliwość zębów, które mogą wystąpić po zakończeniu procedury. Warto pamiętać, że te efekty są zazwyczaj krótkotrwałe i ustępują w ciągu kilku godzin lub dni.Podczas piaskowania zębów, mechaniczne działanie piasku dentystycznego może prowadzić do tymczasowego dyskomfortu, zwłaszcza u osób z wrażliwymi zębami. Dlatego zaleca się, aby osoby z takimi problemami skonsultowały się z dentystą przed podjęciem decyzji o zabiegu. Dzięki temu można dostosować metodę do indywidualnych potrzeb pacjenta, minimalizując ryzyko wystąpienia niepożądanych efektów.
Jakie są potencjalne zagrożenia dla zdrowia jamy ustnej?
Piaskowanie zębów niesie ze sobą pewne potencjalne zagrożenia dla zdrowia jamy ustnej. Jednym z najczęstszych problemów jest podrażnienie dziąseł, które może wystąpić w wyniku kontaktu z drobnymi cząstkami piasku. Dodatkowo, niektórzy pacjenci mogą doświadczać nadwrażliwości zębów, co objawia się bólem podczas jedzenia zimnych lub gorących pokarmów.
Aby zminimalizować te ryzyka, warto stosować się do zaleceń dentysty oraz unikać zabiegu, jeśli ma się problemy z dziąsłami lub zębami. Regularne wizyty kontrolne u stomatologa pomogą w monitorowaniu stanu zdrowia jamy ustnej i pozwolą na szybką reakcję w przypadku wystąpienia jakichkolwiek problemów.
Kiedy warto zdecydować się na piaskowanie zębów?
Piaskowanie zębów jest zalecane w różnych sytuacjach, szczególnie gdy celem jest poprawa estetyki uśmiechu oraz zdrowia jamy ustnej. To doskonała opcja dla osób, które mają problem z kamieniem nazębnym i powierzchownymi przebarwieniami, które powstały na skutek spożywania barwiących napojów, takich jak kawa czy herbata. Piaskowanie może być również korzystne dla pacjentów z wrażliwymi zębami, którzy chcą uniknąć bardziej inwazyjnych metod wybielania.
Czytaj więcej: Czy warto zakładać korony na zęby? Odkryj prawdziwe korzyści i wady
Osoby, które często korzystają z napojów barwiących mogą zauważyć, że piaskowanie skutecznie usuwa osady, przywracając naturalny blask zębów. To zabieg, który przynosi natychmiastowe efekty, co czyni go idealnym rozwiązaniem przed ważnymi wydarzeniami, takimi jak wesele czy inne uroczystości. Warto jednak pamiętać, że piaskowanie nie zastępuje profesjonalnego wybielania, które jest konieczne, aby uzyskać długotrwałe rezultaty.
Jakie czynniki wpływają na skuteczność piaskowania?
Skuteczność piaskowania zębów zależy od kilku kluczowych czynników. Po pierwsze, typ przebarwień ma ogromne znaczenie; piaskowanie najlepiej radzi sobie z powierzchownymi plamami, które powstają na skutek spożywania barwiących napojów, takich jak kawa czy herbata. Z kolei głębsze przebarwienia mogą wymagać innych metod, aby uzyskać zadowalające rezultaty. Po drugie, stan zdrowia jamy ustnej pacjenta również wpływa na efekty piaskowania; osoby z wrażliwymi zębami lub problemami z dziąsłami mogą doświadczać różnych rezultatów.
Innym czynnikiem jest częstotliwość zabiegów. Regularne piaskowanie może pomóc w utrzymaniu zębów w lepszej kondycji, ale nie zastąpi codziennej higieny jamy ustnej. Warto również wspomnieć, że indywidualne różnice w reakcji na zabieg mogą wpływać na jego skuteczność. Dlatego zawsze warto skonsultować się z dentystą, aby ocenić, czy piaskowanie jest odpowiednie w danym przypadku oraz jakie efekty można oczekiwać.
Jak dbać o zęby po piaskowaniu, aby efekty były dłuższe?
Po zabiegu piaskowania zębów kluczowe jest, aby odpowiednio zadbać o jamę ustną, aby efekty zabiegu utrzymały się jak najdłużej. Zaleca się unikanie barwiących napojów, takich jak kawa, herbata czy czerwone wino, przez przynajmniej 24 godziny po piaskowaniu, aby nie dopuścić do ponownego osadzania się przebarwień. Dodatkowo, warto wprowadzić do swojej codziennej rutyny pasty wybielające oraz płyny do płukania ust, które zawierają składniki przeciwdziałające osadom i przebarwieniom.
Warto także rozważyć regularne wizyty u dentysty w celu przeprowadzania profesjonalnych zabiegów czyszczących co kilka miesięcy. Współpraca z dentystą pozwoli na dostosowanie indywidualnego planu pielęgnacji jamy ustnej, co nie tylko pomoże w utrzymaniu efektów piaskowania, ale także przyczyni się do ogólnej poprawy zdrowia zębów i dziąseł. Pamiętaj, że profilaktyka jest kluczem do długotrwałych efektów estetycznych i zdrowotnych.
