Lakierowanie zębów to ważny zabieg stomatologiczny, który pomaga w ochronie zębów dzieci przed próchnicą. Warto wiedzieć, że można go wykonywać już u najmłodszych pacjentów, zaczynając od wieku 2-3 lat, szczególnie na zębach mlecznych. Wczesne zastosowanie lakieru z wysoką zawartością fluoru pozwala na wzmocnienie szkliwa i zminimalizowanie ryzyka rozwoju ubytków. Zabieg jest szybki, bezbolesny i zaleca się go przeprowadzać tuż po wyrznięciu się zębów stałych, aby osiągnąć najlepsze efekty.
W tym artykule omówimy, od jakiego wieku można rozpocząć lakierowanie zębów, jakie są korzyści tego zabiegu oraz jak często należy go powtarzać. Dowiesz się również, jak przebiega cały proces oraz jakie ewentualne skutki uboczne mogą wystąpić.
Najważniejsze informacje:
- Lakierowanie zębów można rozpocząć już od 2-3 roku życia, zwłaszcza na zębach mlecznych.
- Najlepsze efekty osiąga się przy lakowaniu zębów stałych tuż po ich wyrznięciu, najlepiej między 6. a 9. rokiem życia.
- Dzieci do 18. roku życia mogą korzystać z bezpłatnego lakierowania co 3 miesiące w ramach ubezpieczenia zdrowotnego.
- Zabieg lakierowania jest bezbolesny i trwa tylko kilka minut.
- Lakier z fluorem wzmacnia szkliwo i chroni przed próchnicą.
Lakierowanie zębów - od jakiego wieku można rozpocząć zabieg?
Lakierowanie zębów to zabieg, który można rozpocząć już u dzieci w wieku 2-3 lat. Jest to szczególnie zalecane dla zębów mlecznych, które często mają głębokie bruzdy, co zwiększa ryzyko próchnicy. Wczesne lakowanie zębów mlecznych pozwala na skuteczną ochronę przed ubytkami, co jest kluczowe w okresie intensywnego wzrostu i rozwoju zębów.
W przypadku zębów stałych, zaleca się lakowanie tuż po ich wyrznięciu, co zazwyczaj ma miejsce w wieku około 6 lat. Najlepsze efekty osiąga się, gdy zabieg wykonywany jest w okresie od 6. do 9. roku życia, szczególnie na zębach trzonowych. Dzięki temu można zapewnić trwałą ochronę przed próchnicą w kluczowych momentach rozwoju uzębienia.
Lakierowanie zębów mlecznych - kiedy najlepiej zacząć?
Najlepszym momentem na rozpoczęcie lakowania zębów mlecznych jest wiek 2-3 lat. W tym czasie zęby mleczne są narażone na próchnicę, zwłaszcza gdy mają głębokie bruzdy, które sprzyjają gromadzeniu się bakterii. Wczesne lakowanie pozwala na wzmocnienie szkliwa i minimalizowanie ryzyka rozwoju ubytków, co ma kluczowe znaczenie dla zdrowia jamy ustnej dziecka.
Optymalne momenty dla lakierowania zębów stałych u dzieci
Najlepszym czasem na lakierowanie zębów stałych jest okres tuż po ich wyrznięciu. Zaleca się, aby zabieg ten był przeprowadzany w wieku od 6. do 9. roku życia, gdy zęby trzonowe, znane jako „szóstki” i „siódemki”, są w pełni rozwinięte. W tym czasie zęby są szczególnie narażone na próchnicę, dlatego ich lakowanie ma kluczowe znaczenie dla ochrony uzębienia.
Warto pamiętać, że im szybciej zostanie wykonane lakowanie po wyrznięciu zębów stałych, tym lepsze będą efekty. Odpowiednie zabezpieczenie zębów w tym okresie pozwala na długotrwałą ochronę przed ubytkami, co jest szczególnie ważne w przypadku dzieci, które często mają skłonności do spożywania słodkich przekąsek. Regularne wizyty u stomatologa pomogą w ustaleniu najlepszego momentu na przeprowadzenie lakowania.
Jak lakierowanie zębów chroni przed próchnicą?
Lakierowanie zębów to skuteczna metoda ochrony przed próchnicą, która działa na kilka sposobów. Przede wszystkim, specjalny lakier zawiera wysoką zawartość fluoru, który wzmacnia szkliwo zębów, czyniąc je bardziej odpornymi na działanie kwasów wytwarzanych przez bakterie. Dodatkowo, lakier wypełnia wszelkie bruzdy i szczeliny w zębach, co ogranicza miejsce, w którym mogą gromadzić się resztki jedzenia i płytka bakteryjna.
W efekcie, regularne lakowanie zębów zmniejsza ryzyko powstawania ubytków, co jest szczególnie istotne u dzieci, które mogą mieć trudności z dokładnym szczotkowaniem. Dzięki tym właściwościom, lakierowanie zębów przyczynia się do długotrwałego zdrowia jamy ustnej i jest kluczowym elementem profilaktyki stomatologicznej.
Długoterminowe efekty lakierowania zębów u dzieci
Lakierowanie zębów przynosi długoterminowe korzyści dla zdrowia jamy ustnej dzieci. Badania pokazują, że dzieci, które regularnie korzystają z tego zabiegu, mają znacznie mniejsze ryzyko wystąpienia próchnicy w porównaniu do ich rówieśników, którzy nie korzystają z lakowania. W ciągu pierwszych pięciu lat po zabiegu, skuteczność lakierów w zapobieganiu ubytków może wynosić nawet 80%, co czyni je niezwykle efektywnym narzędziem w walce z próchnicą.
| Grupa dzieci | Procent ubytków po 5 latach |
| Dzieci z lakowaniem | 10% |
| Dzieci bez lakowania | 50% |
Bezpieczeństwo zabiegu lakierowania zębów - co warto wiedzieć?
Zabieg lakierowania zębów jest uznawany za bezpieczny i nieinwazyjny. W trakcie procedury dentysta nakłada specjalny lakier z wysoką zawartością fluoru, który nie tylko wzmacnia szkliwo, ale także skutecznie chroni przed próchnicą. Cały proces jest szybki i bezbolesny, dzięki czemu dzieci mogą go znieść bez stresu. Warto jednak wspomnieć, że przed zabiegiem dentysta powinien dokładnie ocenić stan zdrowia jamy ustnej pacjenta, aby upewnić się, że nie ma przeciwwskazań do lakowania.
Choć lakierowanie zębów jest generalnie bezpieczne, jak każda procedura medyczna, może wiązać się z pewnymi ryzykami. Niektóre dzieci mogą doświadczać reakcji alergicznych na składniki lakieru, dlatego ważne jest, aby rodzice informowali dentystę o wszelkich alergiach. Niemniej jednak, poważne skutki uboczne są rzadkie, a korzyści płynące z lakowania zębów znacznie przewyższają potencjalne zagrożenia.
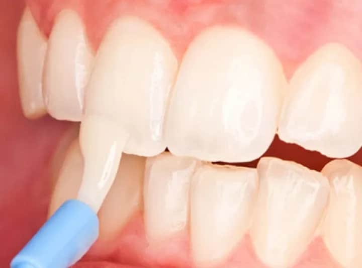
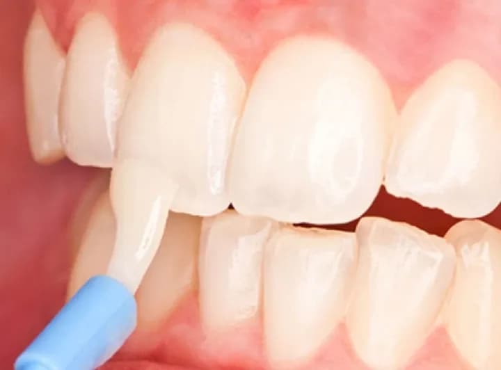
Jak przebiega zabieg lakierowania zębów?
Zabieg lakierowania zębów składa się z kilku prostych kroków. Na początku dentysta dokładnie czyści zęby, aby usunąć wszelkie resztki jedzenia i płytkę bakteryjną. Następnie, po osuszeniu zębów, aplikowany jest lakier przy użyciu małego pędzelka lub aplikatora. Po nałożeniu lakieru, dzieci są proszone o unikanie jedzenia i picia przez około 30 minut, aby lakier miał czas na związanie się z powierzchnią zębów. Cały proces trwa zazwyczaj kilka minut, co czyni go bardzo wygodnym dla małych pacjentów.
Czy lakierowanie zębów ma jakieś skutki uboczne?
Lakierowanie zębów jest zabiegiem uznawanym za bezpieczny, ale jak każda procedura medyczna, może wiązać się z pewnymi skutkami ubocznymi. Niektóre dzieci mogą doświadczać reakcji alergicznych na składniki lakieru, co objawia się podrażnieniem błony śluzowej jamy ustnej lub wysypką. Inne potencjalne efekty uboczne mogą obejmować krótkotrwałe uczucie dyskomfortu w okolicy zębów, zwłaszcza jeśli zęby były już wcześniej wrażliwe. W większości przypadków skutki te są łagodne i ustępują samoistnie w krótkim czasie.
Aby zminimalizować ryzyko wystąpienia skutków ubocznych, ważne jest, aby rodzice przed zabiegiem omówili z dentystą wszelkie alergie oraz wcześniejsze problemy zdrowotne dziecka. Regularne wizyty kontrolne u stomatologa również pomagają w monitorowaniu stanu zdrowia jamy ustnej i wczesnym wykrywaniu ewentualnych problemów.

Częstotliwość lakierowania zębów - jak często należy powtarzać zabieg?
Częstotliwość lakierowania zębów zależy od indywidualnych potrzeb każdego dziecka oraz od stanu jego jamy ustnej. Zazwyczaj zaleca się, aby zabieg był powtarzany co 3-6 miesięcy, zwłaszcza u dzieci, które są bardziej narażone na próchnicę. Dzieci do 18. roku życia mogą korzystać z bezpłatnego lakierowania zębów stałych co 3 miesiące w ramach ubezpieczenia zdrowotnego, co stanowi doskonałą okazję do regularnej ochrony przed ubytkami.
Warto również zauważyć, że czynniki takie jak dieta, nawyki higieniczne oraz genetyka mogą wpływać na potrzebę częstszego lakowania. Dzieci, które spożywają dużo słodyczy lub mają trudności z utrzymaniem odpowiedniej higieny jamy ustnej, mogą wymagać częstszych wizyt u dentysty w celu przeprowadzenia zabiegu lakowania, aby skutecznie chronić ich zęby przed próchnicą.
Jak wprowadzenie lakierowania zębów może wpłynąć na nawyki żywieniowe dzieci?
Wprowadzenie lakierowania zębów jako regularnej praktyki może znacząco wpłynąć na nawyki żywieniowe dzieci. Rodzice, którzy decydują się na ten zabieg, często zaczynają bardziej świadomie podchodzić do diety swoich pociech, zdając sobie sprawę, że zdrowe nawyki żywieniowe są kluczowe dla utrzymania zdrowia jamy ustnej. Oprócz regularnego lakowania, warto wprowadzić do diety dzieci więcej owoców, warzyw oraz produktów bogatych w wapń, które wspierają zdrowie zębów i kości.
Co więcej, dzieci, które są świadome korzyści płynących z lakowania zębów, mogą być bardziej zmotywowane do unikania słodyczy oraz napojów gazowanych, które przyczyniają się do rozwoju próchnicy. Wspólne gotowanie zdrowych posiłków oraz edukacja na temat wpływu różnych produktów na zdrowie zębów mogą stać się doskonałą okazją do nauki i budowania pozytywnych nawyków żywieniowych, które przetrwają przez całe życie. Takie podejście nie tylko wspiera efektywność zabiegu lakowania, ale także przyczynia się do ogólnego zdrowia dziecka.
