Walentynkowy uśmiech – jak zadbać o świeży oddech na randce?
Daniel Kamiński - Strona 9
Autor Damian Adamczyk - najnowsze wpisy
Wynajem skanera wewnątrzustnego – kiedy to się opłaca bardziej niż zakup?
Autor Adam Błaszczyk - najnowsze wpisy
Jak wykupić leki na e-receptę i uniknąć problemów w aptece
Lek Skudexa na co pomaga: skuteczne wsparcie w walce z bólem
Publikacje autora
Ile boli ząb po zatruciu? Sprawdź, co powinieneś wiedzieć
Ile boli ząb po zatruciu? Dowiedz się, jak długo trwa ból, jakie są jego przyczyny i kiedy warto skonsultować się z dentystą.
Lakierowanie zębów od jakiego wieku? Sprawdź, kiedy zacząć!
Lakierowanie zębów od jakiego wieku? Dowiedz się, kiedy najlepiej zacząć ten zabieg, aby skutecznie chronić zęby Twojego dziecka przed próchnicą.
Ile zarabia dentysta na godzinę? Zaskakujące różnice w stawkach
Ile zarabia dentysta na godzinę? Sprawdź średnie stawki oraz czynniki wpływające na wynagrodzenia w Polsce, aby lepiej zrozumieć tę profesję.
Irygator czy szczoteczka soniczna - które urządzenie lepiej zadba o zęby?
Zastanawiasz się, co wybrać - irygator czy szczoteczka soniczna? Sprawdź, które urządzenie lepiej zadba o Twoje zęby i zdrowie jamy ustnej!
Skuteczne leki na ból kręgosłupa - co wybrać, aby ulżyć bólowi?
Skuteczne leki na ból kręgosłupa - dowiedz się, co na ból kręgosłupa leki wybrać, aby szybko i efektywnie ulżyć sobie w dolegliwościach.
Jak przyspieszyć gojenie ran w jamie ustnej i uniknąć bólu?
Jak przyspieszyć gojenie ran w jamie ustnej? Poznaj skuteczne metody, które pomogą złagodzić ból i wspierać regenerację tkanek.
Co na dziąsła w ciąży? Jak uniknąć bólu i zapalenia dziąseł
Skuteczne metody na dziąsła w ciąży. Dowiedz się, jak unikać bólu i zapalenia dziąseł, dbając o zdrowie jamy ustnej w tym wyjątkowym czasie.
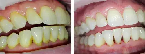
Czy piaskowanie wybiela zęby? Poznaj prawdę o tej metodzie
Czy piaskowanie wybiela zęby? Sprawdź, jak ta metoda wpływa na wygląd Twojego uśmiechu i jakie efekty możesz osiągnąć dzięki zabiegowi.
Czy warto zakładać korony na zęby? Odkryj prawdziwe korzyści i wady
Zastanawiasz się, czy warto zakładać korony na zęby? Sprawdź, jakie korzyści i wady niesie ze sobą to rozwiązanie dla zdrowia jamy ustnej.
Skuteczne płukanki na stan zapalny jamy ustnej, które przynoszą ulgę
Skuteczne płukanki na stan zapalny jamy ustnej czym płukać? Poznaj naturalne i komercyjne metody, które przynoszą ulgę i wspierają zdrowie jamy ustnej.